← Visi atlikti darbai
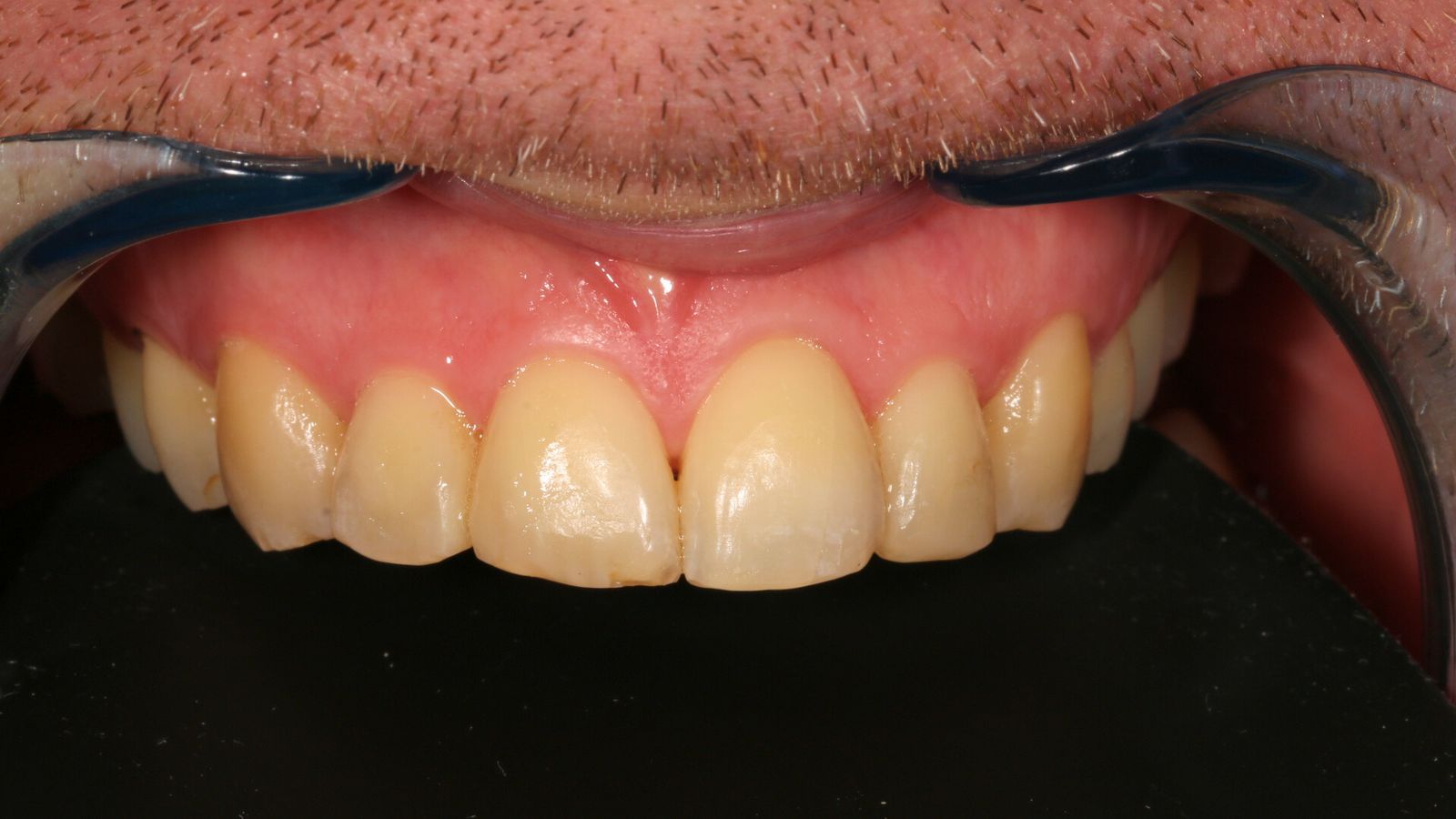
Terapinis gydymas, estetinės restauracijos
Susisiekite su mumis ir sužinokite, kaip galime padėti.
Naudojame slapukus, kad užtikrintume geriausią patirtį mūsų svetainėje. Galite pasirinkti, kuriuos slapukus norite priimti. Sužinoti daugiau